这特么还用说?

 

必须是视黄醇啊!

  

凭啥?

 

凭我手里这些靠视黄醇成功逆袭的真人肤质改造案例!

 

凭截止目前我用视黄醇安排的所有案例中100%都能看到效果的经验!(对,你没看错,是100%!!!这点,猛如水杨酸都达不到。当然,后面是否可以一直保持100%的成功率就不得而知了,毕竟接单越多越可能出现奇怪的个例,不可否认人与人之间的个体差异确实很大)

 

凭我目前压根就不敢把这么重要的工作交给玻色因。。。毕竟,无论是从我个人目前的实践经验还是从能查找到的理论支撑来说,对于抗老这件事,我还是担心玻色因翻车,然后砸了我个护指导的招牌~

 

下面就是大家最喜闻乐见的before/after环节,部分小图看不清效果,可点击图片查看高清大图(以下全部是用了悦薇小针管的结果):

 

2020.9.9-30岁:

图片

图片

 

2020.9.3-38岁:

图片

图片

 

2020.9.2续费-32岁:

图片

图片

 

2020.11.13-35岁:

图片

 

图片

 

2020.11.16-35岁:

图片

图片

 

2021.1.21-33岁:

图片

图片

 

2021.1.12-27岁:

图片

图片

 

2021.1.23-33岁:

图片

图片

 

2021.1.3-35岁:

图片

图片

 

2021.4.21续费-34岁:

图片

图片

 

2021.3.22-41岁,两个月效果:

图片

图片

 

2020.8.2-30岁:

图片

图片

 

2021.7.4-32岁:

图片

图片

 

还有我自己:

图片

 

看着这些照片有没有一点按捺不住的小激动?

是的,只要你使用正确,我非常有信心,视黄醇也可以让你像上面的对比照一样,化“腐朽”为神奇~

 

事实上,这些照片大部分还都是3个月左右的效果,毕竟咨询期有限,后续更长时间的回访我做的其实并不完善,目前基本上还是全靠大家自己的积极性。。。其中,最短的那个对比照才2个月,最长的对比照是我自己,4个月。根据我对自己目前的观察结果来看,4个月时明显比2个月时的效果更显著,所以,如果你给自己安排,完全是可以把效果观察期拉的更长一些的,大概率能看到更好的效果~

 

而对玻色因,我只能说,我自己目前反正是暂时没有用出来效果,所以不太敢推广给案例宝宝们~当然,这个结果不排除是因为我以前试用玻色因的时候姿势水平也有限,没有大量全脸使用所以造成了无效?

 

那为什么我不能再给它一次机会呢?

 

因为,从理论上看它也很难打得过A醇。。。

 

1.玻色因 “可以增加蛋白聚糖的表达,从而可能对改善皮肤老化产生作用”这样的结论,仅仅基于细胞实验,而放到人体上到底会产生什么作用,没人清楚;

 

2.极少数的体内实验数据质量差,无法充分证明该成分对抗老有效;

 

3.能搜索到的所有研究内容仅为欧莱雅的官方数据,缺乏第三方佐证,可靠性不高~或者说那些数据真不真,谁知道呢。。。

 

为什么会有以上的三条结论?请翻阅:关于玻色因,不看这篇文章,活该你一辈子找不到有用的平价替代!

 

而人家视黄醇可是真真的能找到大量超高质量的文献报告的~如果稍微拓展一下到视黄酸的话(视黄醇的本家老大),那更是有大量的临床报告可看~这点完全不是玻色因能比的!

 

所以,玻色因在我这能不能翻身,或许大概也许只有一个可能,那就是欧莱雅免费给我寄他家基质最好的产品过来,看在免费又肤感好的份上,我应该能较长时间的坚持试用,那么它如果也刚好真的有效才会被我发现吧。。。

 

图片

 

千万别跟我抬杠说,你用了某某大牌含有玻色因的化妆品后,皮肤确实变细腻了饱满了,连细纹都淡了巴拉巴拉~

 

这个我之前讲过的!你所看到的效果,并不一定是玻色因的功劳,更可能是护肤品基质的作用!而护肤品基质的作用远超你的想象~

 

PS:护肤品基质就是产品配方表里排名最前面的,名字特别化学的,你可能看着就头疼的那些东西~你每次使用化妆品时从肤感上体验到的也都是它们~

 

这就是单纯靠护肤品基质做出来的效果:

图片

 

因为这个照片左图和右图只间隔了一周时间,功效性成分是不可能起效如此之快之巨大的。

 

关于基质重要性的详细分析,以前已经讲过很多,这里不再哔哔,没看过的请戳:

只靠个“补水”就淡化了印第安纹的神奇案例来了~

关于fresh古源水抗皱嫩肤的神奇功效,我终于有确凿答案了!

 

图片

 

当然,或许对此,你又会说,那你的悦薇小针管案例们说不定也只是基质的作用呢?你咋知道就一定是里面的视黄醇起效了?

 

这个嘛,以前我还得跟你拐弯抹角地解释。

现在,老娘有了最新的直接证据了——我用另一款视黄醇产品同样做出了和悦薇小针管一样的效果!!!

 

来,继续上真相!

 

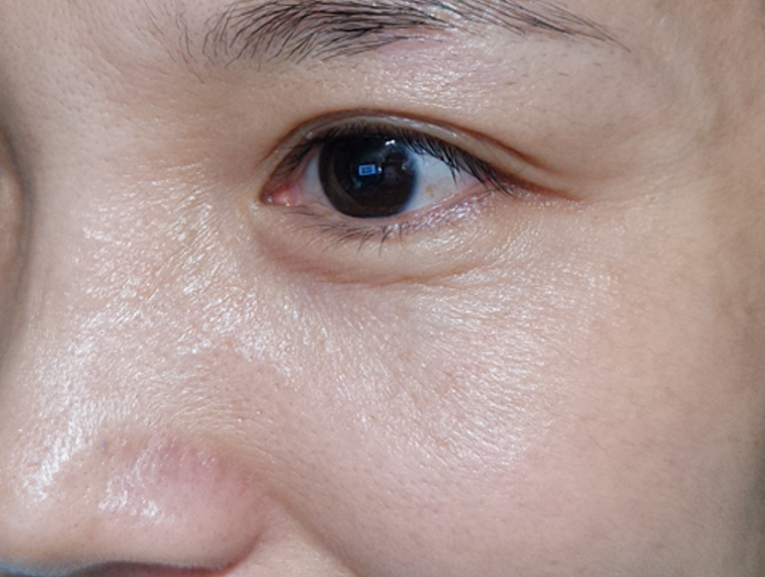
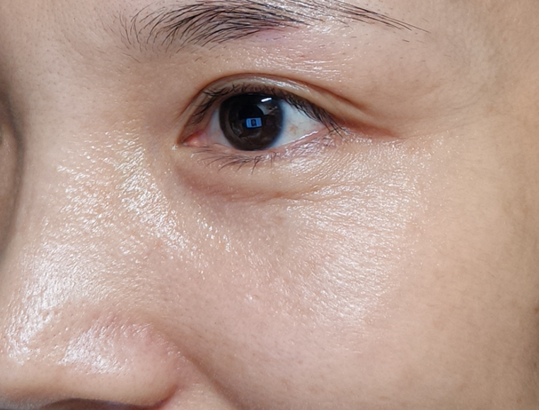
2021.10.9-42岁:

图片

图片

两张照片都是早起未处理的最原始状态

可以看到毛孔变小,皮肤纹理变细腻,甚至眼袋和法令纹都有淡化

 

这个案例的before和after实际只相隔十天,但在此之前她已经自己给自己安排使用了这个产品两个月。

 

那为什么她自己用了两个月都好像没有什么效果呢?(实际可能也有效果,只是没有对比照佐证,只能猜测她之前的皮肤状态或许比左图的before更差一些)

 

因为那两个月,她的用量极少且是隔天使用一次,一直到找我咨询后,是我让她改成一天一次且足量使用,十天后她就发来了右图的after,让我倍感欣喜~

 

而且这样肉眼可见的肤质变化,也完全可以排除光线或角度的影响,因为两张侧脸对比图也有同样明显的效果:

图片

图片

 

图片

图片

 

2021.6.19优化-32岁:

图片

图片

护肤后N小时后未处理的原始状态两个月的对比效果

 

其实,这个案例一直都还有粗暴护肤的毛病,至咨询期结束时也没有完全改掉,对比照上都还可以看到脸颊的隐隐泛红。如果能把这个毛病完全改了,皮肤屏障受损的问题完全解决掉,那她的皮肤质地和毛孔纹理还会有更大的改善!

 

但现在也只能静等她后续的回访反馈了~希望她后面能真的听话,温柔对待自己的皮肤,收获更好的效果吧。

2021.7.5优化-27岁:

图片

图片

护肤N小时后未处理的原始状态1个月的对比效果

 

这个妹子其实原本是比较严重的敏感皮肤,非常容易红痒,这是使用视黄醇的一个非常忌讳的点。所以一开始只是单纯的修复敏感,这个过程历经两个月,最后一个月才开始使用视黄醇的产品,目前也表现良好。

 

再次还有我自己:

图片

图片

都是被北京的沙漠气候折磨一整天后的状态对比

 

我的这波对比照效果其实不是特别明显。

 

那是因为,第一,我一直都有用视黄醇,为了做测试才勉为其难停用了一个月,这一个月的停用并不会让皮肤状态完全打回原形(也就是完全原始的衰老状态);第二,这个对比照前后间隔只有20天(别问我为啥没有更久,问就是时间全浪费在另一款效果不明显的产品上了。。)。

 

但即便如此也可以看到,眼睛下面和鼻梁旁边到内眼角的小细纹都变的更细了,皮肤质地整体变得略有“磨皮”感了~

 

说实话,20天能在并非原始状态的我脸上看到效果,已经让我非常意外啦!(毕竟有一阵,我都感觉悦薇也没什么效果了。。。跟用了假货似的。这大概就是所谓的平台期了)

 

更重要的是,这个产品真的很!便!宜!

 

价格大概只有悦薇的十分之一!

 

我再也不用担心做咨询的宝宝们因为所需的产品价格过高导致不得不退而求其次,并因此做不出最好的效果了~

 

 

图片

 

唯一的“缺点”大概是基质清爽?如果是干皮或者秋冬季节使用,后面需要叠上滋润的面霜。

 

可是,再细想想,这能算缺点么???

 

后面叠个一百多块的珂润霜就完全可以弥补了哇!!!所以,即便是针对干皮,它的价格优势也仍然是杠杠滴~

 

更何况,基质清爽对于中性乃至油皮,尤其是夏季,那可是会摇身一变成为一个巨大的优点的!

 

你们是不知道,我每次在夏季给大家安排悦薇小针管的时候有多头疼。。。我自己大干皮,即便是夏季也还能勉强接受,但真的有很多中性乃至油皮的宝宝,既需要又用不了啊。。。

 

这个宝贝算是彻底解决了我的心头大患~

 

所以,这个神秘的单品到底是啥?

 

来,让我们一起倒计时欢迎它的出场!

 

 

五,

 

四,

 

三,

 

二,

 

一,

 

图片

 

对的,就是珀莱雅红宝石精华!

 

嘻嘻~

 

我估计,在座的好多都猜到了~

 

有些已经在盯各种直播优惠了。。。

 

突然感觉好心疼我家小助手啊~~

 

因为她就在我出这个结果之前的一个月左右,花920元囤了40毫升的悦薇小针管(包括赠品一起算进去有40毫升的样子)。

 

其实,当时她也喊我捡便宜去,我也心动的不要不要的,毕竟现在的我没了视黄醇不能活啊啊啊啊,贵也要买啊啊啊啊。但我最终克制住了,因为我想等这波测试结果出来以后再定,万一搏一搏单车变摩托呢?

 

事实证明,珀莱雅红宝石精华真的没有让我失望!效果也是真真肉眼可见的~

 

图片

 

最后嘛,再说说产品相关的使用注意事项,毕竟是强功效产品,大家一定要做足功课后再开始使用,以尽可能避免翻车而影响对皮肤改善的信心。

 

1.一天最多只用一次!

 

反正我自己反复尝试了,一天两次的话我的脸是受不了的。。。必然会在坚持几天后出现红斑刺痛等症状,老实改回一天一次的话,就相安无事。我脸可是不敏感的哦~一直觉得自己城墙皮呢,你要是没有比我更自信,还是听我的劝:千万不要因为人家便宜,就任性着拼命涂~

 

2.每次的用量建议,请参考:

图片

 

3.皮肤比较脆弱的,或者刚刚从敏感修复过来还没有完全稳定的,或者对自己的护肤水平不是很放心而害怕翻车的,建议从更少量更低频率开始使用,逐渐建立耐受;

 

具体可参照官方给的推荐进度:

图片

如有使用相关的更多问题,可评论区留言~

 

最后的最后,双11马上就来了,好不容易安利一次的我,也必须配合一下节日气氛,上个购物指南啊!

 

我刚刚让小助手去天猫看了,目前显示的是活动价319,双11还有定金立减20&叠加平台200-30&领券优惠券10元三项优惠,最终的限时到手价259!!!

 

然后还有大促买一送5,花一份钱,直接到手2.25瓶的量,相当于打35折!

 

【我的淘口令】1¥qoyJXH1nhqb¥/ 

 

PS:需要提醒大家的是,据说很多博主还有各种暗号福利,我这个就是个普通的淘口令,只有官方自带的双11优惠,未必有大家在各种直播间里拿到的实惠大。。。所以,购买时,宝宝们也可各显神通哈~当然,实在特别想支持一下我的,也非常欢迎使用我的淘口令!

 

图片

 

靠谱文章写作不易,且赞且珍惜哦~爱你萌,么么哒!图片图片图片