我猜,你们一定会赌“不明觉厉”的医美赢!

 

因为,我知道你们早就在涂涂抹抹这件事上输麻了。。。甚至可以说,现在有太多人觉得护肤品根本就没用!连我自己也曾经有过这样的疑惑。。。而医美又因为价格昂贵、耗费时间等原因,导致很多人可能还没有真正尝试过,那种未知的神秘感就很容易带给大家无限的期待和遐想~

 

然鹅,真相到底怎样呢?

 

来,今天咱们眼见为实。

 

文献1.点阵激光

 

效果很满意——26岁男性,每月一次做了三次点阵治疗的四个月后(总体周期超过半年):

图片

 

效果还不错——38岁女性,每月一次做了三次点阵治疗的四个月后(总体周期超过半年):

图片

 

翻车了——33岁女性,每月一次做了三次点阵治疗的四个月后(总体周期超过半年):

图片

 

 

文献2.低能量非剥脱性点阵激光

 

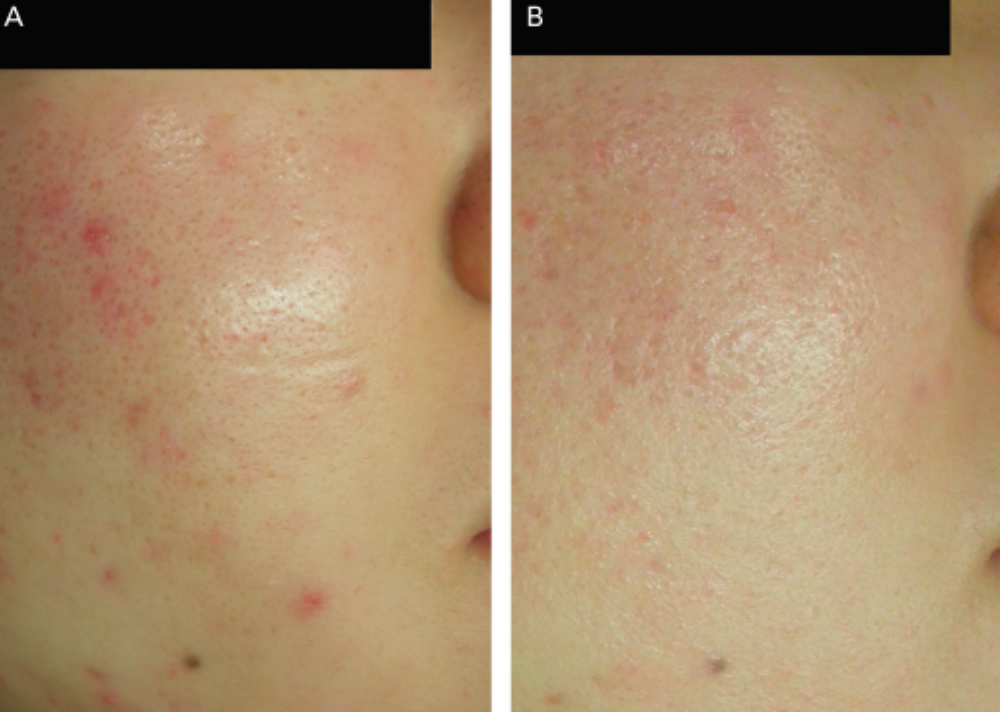
效果显著——35岁女性,6次治疗后两周:

图片

 

效果还行——30岁女性,6次治疗后两周:

图片

 

文献3.超皮秒联合注射用透明质酸钠复合溶液(嗨体)

 

用利多卡因乳膏敷半小时后,Picoway 超皮秒点阵模式全面部扫描2遍,然后用注射用透明质酸钠复合溶液2.5ml(商品名:嗨体)在面部毛孔粗大处进行皮内注射,随后进行水晶面膜外敷30-40分钟,嘱平时注意补水保湿及防晒,一月治疗一次,三次为一个疗程,最终效果如下:

 

治疗前

图片

 

一次治疗一个月后

图片

 

一个疗程三个月后

图片

 

上面注射的“嗨体”的主要成分是透明质酸钠、脯氨酸、甘氨酸、丙氨酸、L-肌肽及维生素B2。应用在皮秒后的主要目的,文献作者描述的是:第一,可以对真皮直接补水;第二,其内含的脯氨酸、甘氨酸、丙氨酸等成分是胶原蛋白合成的必需氨基酸,这些可以为空泡化效应刺激增殖的成纤维细胞合成胶原蛋白提供原料,帮助局部胶原蛋白的再生,辅助提升皮秒的最终效果。

 

然鹅,真皮真的需要这样的补水么?补进去的那点透明质酸难道不是很快就会被分解掉的么?所以到底有多大意义有待商榷。。。

 

至于补充的氨基酸,说实话,即便你不补充,只要是个健康人,皮肤受到相应的损伤后也会自发产生需求信号,身体的相关机能就会被调动起来,源源不断地给皮肤相应部位供给所需的氨基酸和其他所有重建修复的必须原料,这种补充方式得来的所有原料的精准性和利用率都远高于你强行注射进去的。。。这里,只能说,或许这样的直接注射能进一步加强修复的效果吧。

 

文献4.非剥脱点阵激光

 

效果不错的——36岁女性治疗五次后对比:

图片

 

翻车案例——29岁女性经1565nm非剥脱点阵激光治疗后两周面部出现色素沉着(黑色箭头所指),皮肤毛细血管扩张也没有消退,红色丘疹依然是增多状态,皮肤质地相比治疗前更粗糙(当然,如果后续修复方案得当,皮肤是能恢复的,完全恢复后,理论上皮肤质地也能比之前更好一些);

图片

 

文献5.刷酸

 

效果不错——四次果酸治疗,每次间隔三周,第一次用20%的果酸,后续几次根据皮肤耐受度可能增加到35%的浓度:

图片

 

文献6.半导体激光

 

文献内对于该治疗方法的治疗机理介绍:激光可以深入到真皮内 ,从而形成柱状的微热区,细胞内的水会吸收激光能量,最终引起细胞逐渐升温乃至坏死,然后开启皮肤自动修复程序,实现胶原纤维的新生和重排。在表皮剥脱之后会重新上皮化,最终使包含真皮和表皮在内的全层皮肤得到重建和重塑,以此达到改善由胶原蛋白松弛或者断裂所引起的毛孔粗大现象。

 

大白话就是:损伤皮肤后刺激皮肤再生和重塑,达到改善皮肤质地的目的,跟点阵激光是类似的,但能量应该更弱(因为只形成柱状的微热区,点阵激光会更厉害一些,但同时副作用也会更大,或者说修复期也会更长)。

 

效果不错——800nm半导体激光4次治疗后(以下为同一个人三个角度的对比):

图片

 

图片

 

图片

 

疑似做了个寂寞——800nm半导体激光4次治疗后:

图片

 

疑似翻车——800nm半导体激光4次治疗后:

图片

 

文献7.800nm半导体激光

 

效果不错——800nm半导体激光每周一次,治疗四次后:

图片

 

图片

 

文献8.点阵激光结合射频

 

皮肤松弛改善效果惊艳——没标明具体治疗了几次以及是多久后的效果,按照文献上下文描述推测射频应该至少做了十次,每两周一次:

图片

 

毛孔粗大改善效果惊艳——没标明具体治疗了几次以及是多久后的效果,按照文献上下文描述推测射频应该至少做了十次,每两周一次:

图片

 

该文献图片质量较差,也没有贴翻车的效果图,但总体数据如下(观察组是点阵+射频,对照组是只做射频):

图片

图片

图片

 

说实话,这个是我找到的所有医美文献案例里唯一让我心动的一个了,或者说,看完后,我自己也在考虑,是否再等几年,我脸轮廓实在太差的时候也去做一下医用射频?

 

PS:热玛吉是典型的医用射频,但该文献里用的是以色列美迪迈医疗激光公司的EndyMed-PRO射频系统,按照使用频率来看,应该比热玛吉能量低很多,不过热玛吉大概能做出什么样的效果,大家也完全可以参考这个文献的案例图。

 

虽然这波对比图确实给我种草了,但也必须贴出相关的实力劝退环节——每次做完治疗,你还需要忍受这些操作:

图片

 

从上述这些治疗后措施你也应该可以想象到这种治疗的损伤程度有多大吧?

 

损伤大这个事,除了做的过程会比较痛苦以外,还有修复期更长以及风险更大的问题。

 

所以,选择前一定要更慎重。

 

图片

 

下面再来看看我用护肤品做出来的各种案例吧。

【未使用任何强功效产品的案例】这些的本质其实是她们的皮肤本就应该那么好,只是错误的护理导致出现各种问题,让皮肤看起来很差~

 

2022.1.15续费-23岁2021.3PK2022.2;

图片

图片

 

图片

图片

 

这妹子至今没有用过任何强功效产品(高浓度水杨酸、A酸、A醇、果酸、壬二酸等),弱功效的也就刚刚开始用(CPB水),还偶尔因为护肤不当导致不耐受而停用,所以效果也基本可以忽略不计。

 

并且她左图的粗糙肤质已经折磨了她很多年,为了这个皮肤“看皮肤科看到破产”。。。甚至一度放弃治疗,以为那就是她豆蔻年华里应有的模样。。。

 

这是她的自述:

图片

图片

图片

图片

图片

图片

 

2020.8.10-26岁;

图片

图片

 

这个案例也只有鼻子上用了两个月水杨酸,其他部位全程只有基础护理,最后才加入了CPB水和兰蔻小黑瓶这种算是弱功效的产品。她的情况其实类似前面23岁的那个妹子(敏感+粗糙+比较年轻),如果跟踪时间可以跟那个妹子一样长,效果应该更棒。

 

2019.11.14-31岁;

2019.11.14PK2020.2.5:

图片

图片

 

2019.11.14PK2021.10.28:

图片

图片

 

这个案例也是未使用强功效产品,一开始调整护肤方法,只进行基础护理,后面加用雅诗兰黛紫竹水、兰蔻小黑瓶等弱功效产品长期按照要求保养得到的效果。

 

2021.9.23-35岁;

 

图片

图片

 

2021.10.27-26岁;

图片

图片

 

2021.12.30-22岁;

图片

图片

 

以上两个案例都还没有结束咨询,也都是仅仅只做了基础护理方法的调整,红色丘疹就已经明显减轻了。第一张对比图是三个月的改善(中间用过十天博乐达面膜,顶不住刺激停用了),第二张对比图是两个月不到的对比。

 

2021.11.16-33岁;

仅仅改了清水洗脸,额头毛孔的变化:

图片

图片

 

我这样是不是会被医美诊所打死?

 

图片

 

下面再放一些强功效产品做出的效果图(其实类似医美了,只不过方式不是去诊所做项目,而是单纯在家涂涂抹抹即可)~

【水杨酸/A酸案例】

 

2021.3.30续费-28岁;

图片

 

2021.1.19续费-32岁;

图片

图片

 

2021.1.24-31岁;

图片

图片

 

2021.3.20-26岁;

图片

图片

 

2021.3.21-25岁;

图片

图片

 

2021.5.6续费-30岁;

图片

图片

 

【A醇案例】

 

2020.9.9-30岁;

图片

图片

 

2020.9.3-38岁;

图片

图片

 

2020.9.2续费-32岁;

图片

图片

 

2020.11.13-35岁;

图片

图片

 

2020.11.16-35岁;

图片

图片

 

2021.1.21-33岁;

图片

图片

 

2021.1.12-27岁;

图片

图片

 

2021.1.3-35岁;

图片

图片

 

2021.4.21续费-34岁;

图片

图片

 

2021.3.22-41岁,两个月效果;

图片

图片

 

2021.7.4-32岁;

图片

图片

 

2021.10.9-42岁;

图片

 

2021.1.23-33岁;

图片

图片

 

2021.1.5-36岁;

图片

图片

 

2021.11.16-33岁;一个月A醇的改善效果;

图片

图片

 

【壬二酸案例】控油和缩毛孔的效果不如水杨酸或A酸,所以很少安排,目前就一例

 

2021.8.19-25岁;

2021.7.10PK2021.11.29:

图片

 

更多的医美案例,你们还可以自己去知网或者sub上找;用护肤品做出来的则可以看我公众号首页上的【案例墙】或者去小号【安较瘦】上蹲~

 

综上,在改善皮肤质地方面,医美治疗和家用外涂方案的效果哪个你更动心?

 

反正,我自己选了家用方案~

 

原因是:

 

1.在皮肤质地的改善方面,家用外涂的最终效果我认为不输医美,但在花费的金钱和时间成本上家用外涂完胜,且副作用更小,基本不存在“变美之前先变鬼”的修复期(皮肤质地主要指毛孔、痘痘、痘印、皮肤纹理的平滑度);

2.医美项目做完仍然需要日常的正确维护保养才能展现出最佳效果,外涂解决不了的常见问题是严重的色斑(定期打激光)、大的痘坑(皮下剥离、填充、点阵激光结合)、眼角鱼尾纹/抬头纹(打肉毒毒素)、重度痤疮(需内服异维A酸)、以及严重的轮廓松弛下垂(射频、埋线、填充结合),这些才是最有价值的医美项目,而我恰好没有或者有一点但不太介意;

3.优质的护肤品或医美项目的选择很重要,但更重要的是使用过程的各种细节——给怎样的皮肤在怎样的时机使用怎样的产品或项目,以及如何使用!要获得这种能力说实话非常困难,像护肤品的选择使用吧,绝对不是照本宣科地看看所谓的肤质类型,然后结合产品成分表就能有效匹配的(因为现在主流的或者说是教科书里最流行的肤质分类理念本身就有很大的bug,这个以后专题讲),而是需要个人具有非常扎实系统的化妆品和皮肤学基础知识,然后还要能有意识地把这些知识与大量的实践经验结合起来,才能逐渐实现肤质和产品匹配的超高精准度,避免“玄学护肤”的尴尬,而医美项目能不能取得好效果则主要取决于操作医生的技术水平、经验和责任心,而不是仪器,所以选对并用好医美项目对大众的难度更大,因为上述几个要点都能达到优秀水准的医生太太太太少了。。。这需要医生有扎实的知识体系,还要有常年奋战一线的临床经验,并且能不断地用心分析研究总结各种案例以提升技术水平,然后经过多年沉淀后才能达到要求,而这样的人目前真的太少了。国内的医美行业相比化妆品行业其实更加稚嫩,目前还处于粗暴野蛮的扩张阶段,基本没有这种医生和团队的生存土壤。。。所以,即便偶尔出一个,你也不知道TA在哪(这里如果有认同我理念的医生看到,请联系我);

4.一切只以产品或项目为宣传导向的美容科普都不要相信,更不要作为你选择产品的主要依据,因为这些信息真的无法保证你最终收获的效果。

 

图片

 

参考文献:

[1] Saedi N , Petrell K , Arndt K , et al. Evaluating facial pores andskin texture after low-energy nonablative fractional 1440-nm lasertreatments[J]. Journal of the American Academy of Dermatology, 2013,68(1):113-118.

[2]蔺洁. 800nm半导体激光对皮肤黑头及毛孔粗大治疗机制的探讨及临床效果观察[D].河北医科大学,2017.

[3]王英. 1565nm非剥脱点阵激光与长脉宽1064nm Nd:YAG激光治疗面部毛孔粗大的安全性及疗效性对比[D].浙江大学,2020.

[4]尹敏, 吴姗姗, 麦跃,等. Picoway超皮秒联合注射用透明质酸钠复合溶液在毛孔粗大中的临床观察[J]. 中国医疗美容, 2019, 9(11):5.

[5]赵春华, 钱晓莺, 周宇,等. VISIA检测仪对果酸治疗面部毛孔粗大的评价[J]. 中国中西医结合皮肤性病学杂志, 2019, 18(1):4.

[6]王雄, 黄小兵, 陈晓儒. 射频联合点阵激光对面部皮肤光老化患者皮肤细纹,紧致度,毛孔的改善作用[J]. 中国医疗美容, 2019, 9(10):5.

[7]陈燕, 李生, 马明. 应用800nm半导体激光治疗面部毛孔粗大疗效观察[J]. 中国美容医学, 2018, 27(5):3.

 

靠谱文章写作不易,且赞且珍惜哦~爱你萌,么么哒!图片图片图片