功效护肤品真的有平台期!

 

其实,这个确认结果在上次发完珀莱雅红宝石的案例以后的第二天晚上就被我发现了~

 

那天晚上,原本懒惰成性的我鬼使神差般用苹果手机后置镜头拍了几张自己的皮肤照片。现在也想不起当时为什么突然就想用苹果拍照,好像就是觉得肉眼看红宝石的效果实在太明显了,但用另一台手机怎么都拍不出来那么明显的对比效果?索性就用苹果后置这个“照妖镜”再试试?

 

拍完当时倒也没觉得有多好,毕竟。。。苹果的照妖镜嘛,拍出来的皮肤颜色难看,皮肤瑕疵甚至比近距离肉眼观察还明显。。。所以,每次看这种照片时总感觉整个人都不好了。。。

 

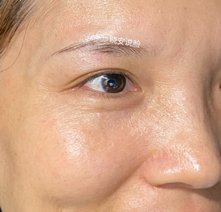
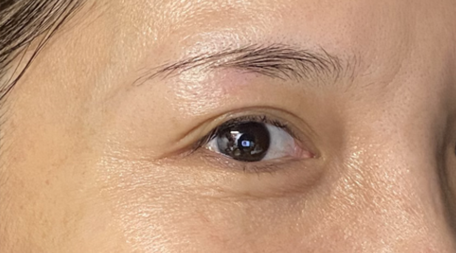
只是,当我把这张照片和之前用同款照妖镜拍的另一张长期坚持使用悦薇小针管的照片放在一起后,我兴奋了:

图片

图片

上图是一直用悦薇小针管一年以上,下图是用珀莱雅红宝石精华40天,中间间隔50天完全没有用悦薇

 

从对比图可以看到,珀莱雅红宝石精华直接帮我突破了悦薇小针管的效果瓶颈。

 

其实,在此之前,我对大家经常提到的“用某个产品时间长了就感觉没有效果”的现象是表示怀疑的,一直更倾向于认为这种现象只是心理作用。甚至后期有相当长的一段时间,我自己也亲身感受到了悦薇小针管似乎没用了。。。但苦于当时并没有直接证据,一直也不敢确定,只能继续默认自己也是出现了心理倦怠期。

 

直到上面那张对比图的出炉。

 

图片

 

不过,严谨一点,应该说,红宝石到底是直接突破了悦薇的平台期,还是 “唤醒”了皮肤对某些功效成分的反应而让皮肤再次产生肉眼可见的改善效果,目前还不能确定。

 

因为我还无法确认我持续使用悦薇小针管一年后的效果(对比照中的上图)是否一直维持着使用到四个月时我曾经看到过的最佳效果。但从直观感受来说,我认为一年后的效果是弱于四个月时我看到的最佳效果的,也因此,后面有几个月我甚至有怀疑过我用的悦薇是假货。。。然鹅,产品确实是官方旗舰店买的,可以排除这种可能。

 

但,有一点可以肯定的是,红宝石的效果至少在两个半月的时间内是稳步提升的,肤质改善效果非常明显,明显到无论用哪款手机都能拍出完美的对比图!

 

下面这两张就是用国产安卓机拍摄的:

 

图片

图片

红宝石精华10天PK红宝石精华70天

(肤色变化请忽略,主要是拍摄时穿的衣服颜色不同造成的影响,实际没有明显变白)

 

还有一点也跟当初用悦薇的感觉类似,那就是第一个月改善最大,往后的效果则越来越微弱:

图片

图片

图片

悦薇小针管一年PK红宝石精华40天PK红宝石精华70天

(苹果手机后置原图)

 

且,这两个现象在我安排的另一个麻豆脸上也有表现~

 

2021.9.26(使用前)PK2021.10.5(十天后)PK2021.12.6(两个月后):

图片

图片

图片

 

图片

图片

图片

 

综上,以目前看到的事实来说,对于功效护肤品可以总结为:持续长时间使用后会进入功效平台期或效果下降(比平台期更惨),更换类似功效的其他产品可以突破功效平台期或“唤醒”皮肤对类似功效成分的反应,提升最终的肤质改善效果。

 

所以,我突然又觉得小助手囤的那个昂贵的悦薇还能再抢救一下!毕竟,红宝石也很可能平台啊,平台的时候就可以拿悦薇出来“唤醒”一下啦~贵是贵了点,但总算是物尽其用了嘛。

 

图片

 

至于说红宝石精华对于干皮保湿弱的这个缺点,我也帮你们进一步挖掘了解决方案。

 

不是叠珂润霜哦,那玩意儿太基础了~

 

咱直接用珀莱雅本家出的同系列红宝石滋润霜,它不香么?

 

首先,里面一堆的抗老胜肽哦!!!

 

其中的核心成分是神经递质抑制类胜肽乙酰基六肽-1,再加上复配的4种可以促进胶原合成的信号肽,这种功效底子如果和红宝石精华双剑合璧的话,淡纹抗老的效果会不会更上一层楼呢?

 

反正,我想了想都觉得有点小期待呢~

 

说到这里突然想提一嘴关于乙酰基六肽-1这种神经递质抑制类胜肽实际抗皱功效的问题,因为早期我对此是保持高度怀疑态度的。

 

当时让我怀疑它的一个最重要的点就是,逻辑上它说不通啊,毕竟这东西用进去如果真的能达到类似肉毒毒素那样抑制神经信号传导的作用,那脸不得瘫了?

 

但自从看了资生堂关于皱纹的那篇论文《皱纹形成过程中角质层作用的阐明以及抗皱护肤品开发的新见解》,以及观察了大量A醇抗老的实际效果以后,我对此的认知已经产生了巨大的转变。

 

因为,当初绊住我的“如果抗皱胜肽管用就会让人面瘫”的那个逻辑是建立在这种胜肽抑制神经信号传导的作用和肉毒毒素一样强,且被皮肤吸收进去以后的有效浓度可以达到和直接注射一样的水平!

 

然鹅,这怎么可能?

 

如果透皮吸收能这么牛逼,咱以后都不需要打针了嘛,有个啥毛病,来一瓶治疗药膏往皮肤上一抹,完事~

 

很显然,这是异想天开。

 

实际情况是,透皮吸收进去的药物量一定肯定确定是远远低于注射的。所以,就算假设胜肽们抑制神经信号传导的作用和肉毒毒素一样强,透皮吸收过程中也没有额外的损耗,用护肤品涂抹的方式想要把有效成分传递给面部表情肌与直接注射进去的方式相比,也是有天壤之别的。

 

再结合大量胜肽相关的文献真人案例图以及我自己长期的实践观察,我发现肉毒毒素注射是真的可以让表情肌完全放松的——实际表现就是只要注射量合适、注射部位准确,打完肉毒毒素以后无论多夸张的表情纹都会完全舒展开,不留一丝痕迹,因为你真的指挥不动这块表情肌了。。。而涂抹胜肽的方式只能稍微对表情肌产生一点点舒缓的作用,但其主体功能都还在——实际表现就只可能达到由表情肌收缩而带来的细小皱纹变得稍微平缓一点的效果,而主体表情纹都还在(所以,抗皱胜肽完全可能有效,我们也并不会因此而面瘫):

图片

 

图片

 

还有我自己的这波肤质改善效果里也很可能有抗皱胜肽的功劳:

图片

图片

 

仔细看,即便是这样特意挤出微笑以保持表情肌紧张收缩的状态下,我眼角的鱼尾纹也是明显淡化的,但主体的几根大纹都还在,甚至小纹路也并没有完全消失不见,只是变细变浅了。如果是注射肉毒毒素的话,这片皮肤会变得像熨斗熨过一样的光滑紧致~无论是否做表情(说的好像打完肉毒你还能做出自然表情一样)。

 

只不过,我的这个对比图是用红宝石精华做出来的,里面不仅有胜肽,还有A醇,而A醇也有非常确凿的淡化细纹的功效。

 

并且我这里还有个bug是,虽然其中的A醇淡化细纹的效果主要来源于皮肤质地的改善(针对表皮和真皮)和抗皱胜肽的作用原理不同(主要针对表情肌放松),但两者在脸上最终的实际表现却是会有重合的,因为肌肉、真皮、表皮是粘结在一起的,相互之间会有很大的影响:

图片

 

上图中左边是志愿者微笑前,右边是志愿者微笑10次后,很明显,在多次调动表情肌后,皮肤表面的皱纹也在短时间内加重了(说明表情肌对表皮皱纹的影响巨大)。

 

而在表情肌收缩的情况下,皮肤表面水分度高的话表情纹明显比干燥状态要细和浅(说明皮肤质地好的话也能减缓表情肌收缩导致的表情纹,至少视觉效果是改善的):

图片

 

所以暂时还没法明确到底抗皱胜肽在其中起了多大作用,但这个问题已经成为我后续追踪的重要方向了。宝宝们,敬请期待啦~

 

图片

 

其次,在这个价位里,这款霜的基质可以说做的很高级了,属于保湿滋润型产品里少有的稍带一点哑光感的面霜~

 

要知道,这种质感的滋润面霜一般只在少数几款欧美系贵妇霜里才能找到。。。比如赫莲娜的黑绷带。

 

事实上,它和黑绷带的配方风格也确实相似,都是以硅油为主体(保证了其顺滑肤感的主基调),附以封闭性强的油脂(提升产品的滋润保湿效果),配合一些吸附剂(制造恰到好处的哑光感)。

 

所以,相比普通的滋润型面霜,它就具有更强的顺滑感,涂完也没有普通滋润型面霜那种明晃晃的容易暴露皮肤瑕疵的光泽(但也不是完全的哑光和雾面,而是一种比较低调自然的微光泽),且相对更加温和(因为主体油脂惰性都比较强,不太容易渗透到皮肤里)。

 

这些特点成全了它更广泛的适配性,可以做到“进可攻退可收”,或者说只要不是特别极端的环境或肤质(比如湿度长期低于30%或皮肤本身略敏感,对功效产品耐受性较差的人群),它都能胜任

 

这些也恰好是黑绷带的优势。

 

当然咯,实际用料上和黑绷带还是有相当差距的,比如水分含量相比几乎满满都是料的黑绷带高多了。。。所以,黑绷带是厚实膏霜质地,它则是晶莹剔透的乳霜质地,这一点对于特别脆弱的皮肤来说,也就很可能不如黑绷带那么能稳得住:

 

图片

 

不过,这款霜的售价连黑绷带的零头都不到,功效上却有相比玻色因更靠谱的高浓度胜肽加持,基质还能做成这样,再去哔哔人家缺点,说实话,我自己都有点不好意思了。。。

 

何况,我们大多数人的大多数时候其实也根本不必非得用黑绷带~只要你不是特别脆弱的同时又叠上衰老肤质+比较干燥的气候,珀莱雅这个霜就够了。

 

另,针对这个霜我还开发了一个新的使用场景:一开始皮肤比较脆弱用红宝石精华翻车又想尽快看到点抗老效果的宝宝,可以先用它顶着,这样就可以做到边修复边抗老了~待到皮肤更稳定健康了以后,再去加入红宝石精华,以期收获更高效的改善。

 

图片

 

还有还有,上次双11贴的那个淘口令好管用啊!!!我感觉我赚了一个亿!

 

果然还是平价产品厉害么?

 

嘻嘻~

 

反正,今天刚好又赶上了双12,我也要贴,要贴,要贴!

 

珀莱雅红宝石精华优惠券:87¥9ZlgXzeXmZF¥/

这个活动价319,跨店满减20元,再叠加20元优惠券,实际到手价279,还送7.5毫升同款精华中样3个,加入他家会员再送双抗面膜2片!

 

珀莱雅红宝石面霜优惠券:57¥mdZwXz3Pfmm¥/

这个活动价309,跨店满减20元,再叠加30元优惠券,实际到手价259,还送同款面霜15g中样2个+5g小样1个,加入他家会员还能再送5g小样!

 

当然,当然,大家如果有其他渠道很优惠的那种,也可以各显神通的哈,不用被我的淘口令绑架~你们的爱,我依然能感受到的! 

 

图片

 

参考文献:

[1]Wang Y , Wang M , Xiao S , et al. The Anti-Wrinkle Efficacy ofArgireline, a Synthetic Hexapeptide, in Chinese Subjects[J]. American Journalof Clinical Dermatology, 2013, 14(2):147-153.

[2] 原佑辅,小仓有纪,天野聪,片桐千华.皱纹形成过程中角质层作用的阐明以及抗皱护肤品开发的新见解.见:第十二届中国化妆品学术研讨会论文集,2018,450-461.

 

靠谱文章写作不易,且赞且珍惜哦~爱你萌,么么哒!图片图片图片